Biologia Celular

Orgánulos Celulares I: Endosimbiosis y orgánulos unidos a membranas


¿Sabías que la “supervivencia del más apto” no es la única explicación del éxito de una especie a lo largo del tiempo? La cooperación puede ser igualmente importante cuando se trata de cómo las especies se adaptan para sobrevivir. Según Lynn Margulis, quien propuso que las mitocondrias y los cloroplastos modernos evolucionaron a través de la endosimbiosis, “la vida no se apoderó del mundo mediante el combate, sino mediante la creación de redes”.

Cuando pensamos en la evolución, tenemos la tendencia a pensar en una competencia en donde los mas fuertes sobreviven. Los carneros con cuernos gigantes derrotan a machos mas pequeños y ganan el privilegio de pasar sus rasgos (cuerpos fuertes y cuernos grandes) a la próxima generación. Similarmente, pájaros machos con plumajes coloridos ganan la competencia contra machos con apariencia aburrida y dan a sus hijos el regalo de plumaje llamativo. Pero la historia de la evolución no es siempre acerca de la competencia. De hecho, a veces la evolución es acerca de la cooperación. Tal es el caso de las células eucariotas.

El origen de células eucariotas

Las células eucariotas se difieren de células procariotas en el aspecto de que la mayoría de los varios orgánulos en células eucariotas son encapsulados en membranas, mientras que células procariotas solo tienen orgánulos flotantes (Figura 1). La diferencia es una muy obvia, hasta cuando es visto por medio de los microscopios mas simples. Desde principios del siglo XIX, los científicos ya debatían como la evolución podía haber dado surgimiento a estas dos líneas distintivas (Mereschkowski, 1910).

Figura 1: una célula eucariota (izq) tiene orgánulos membranosos, mientras que una célula procariota (der) no tiene.

image ©J Thorpe

Konstantin Merchkowski (Figura 2) originalmente propuso la idea de que cloroplastos en plantas evolucionaron de una relación simbiótica como la que el había visto en su investigación con líquenes. Los líquenes, como el había observado, eran en realidad organismos formados por un hongo y algas fotosintéticas viviendo juntos en simbiosis. La parte del hongo del organismo provee un ambiente seguro para el alga fotosintética, y la alga fotosintetiza ATP para líquenes. Merschowski sospechaba de que los cloroplastos en células de plantas descendían de organismos similares a la alga de líquenes. Desafortunadamente, no tenia evidencia para apoyar esta hipótesis, entonces nadie lo tomaba en serio en ese entonces. Sin embargo, cuando el biólogo americano llamada Lynn Margulis propuso la idea de nuevo en el año 1967 las cosas eran diferentes. La tecnología se hacia mas disponible y permitia a científicos recolectar datos e investigar la idea de manera mas completa. La idea de Merschkowski finalmente obtuvo atención, aunque fue 100 años mas tarde.

Figura 2: Konstantin Merschkowski (izq), un biólogo ruso originalmente propuso la idea de que los cloroplastos en células de plantas tenían parientes lejanos de organismos fotosintéticos de una sola célula.

image ©Wikimedia Commons

La teoría de endosimbiosis

La idea propuesta por Margulis es llamada la teoría de endosimbiosis. Esta teoría declara de que la mitocondria y cloroplastos modernos de hoy son descendientes de organismos bacteriosos antiguos que comenzaron a vivir dentro de células procarioticas cuando la Tierra era bien joven (Sagan, 1967).

La historia comienza hace mas de dos mil millones de años cuando la tierra era aun caliente y estéril. No había oxígeno (O2) en la atmósfera y las únicas formas de vida en la Tierra eran organismos procariotas de una sola célula similares a la bacteria de hoy en día. Algunos de estas procariotas llamadas cianobacterias evolucionaron la habilidad de capturar energía en la luz del sol para hacer moléculas orgánicas, estas bacterias fotosintéticas florecieron y comenzaron a liberar oxígeno (O2) al agua de océano.

El oxígeno fue puramente un producto de fotosíntesis y no había previamente existido en el planeta. Debido a que el oxígeno es reactivo, era tóxico para la mayoría de las procariotas viviendo en ese entonces y causo muchos de ellos a extinguirse. Sin embargo un pequeño numero de procariotas evolucionaron la habilidad de tolerar el oxígeno y algunos de sus descendientes después evolucionaron la habilidad de utilizar el oxígeno para ayudar en su metabolismo, como hacemos hoy en día.

Las células que pueden utilizar el oxígeno para el metabolismo llamado aeróbico, mientras que esos que no pueden se les llaman anaeróbicos. Células aeróbicas tiene una ventaja poderosa debido a que el oxígeno les permite obtener mucha mas energía de las moléculas de comida que consumen.

La cooperación entre los dos procariotas resultó debido a que una célula anaeróbica grande encapsulo (pero falló al digerir) una célula pequeña aeróbica. La célula aeróbica, continuó a eficientemente metabolizar las moléculas de comida utilizando oxígeno y compartió su exceso de ATP (energía en forma de almacenamiento químico) con su anfitrión, un anaerobio grande. El arreglo hubiese sido similar al que vemos en nuestro propio sistema digestivo: millones de microbios viven felizmente en nuestros intestinos, ayudando a digerir y metabolizar lo que comemos. Como los microbios viviendo en nuestras agallas, la célula aeróbica vivía completamente dentro de su anfitrión.

La cooperación entre los dos procariotas resultó debido a que una célula anaeróbica grande encapsulo (pero falló al digerir) una célula pequeña aeróbica. La célula aeróbica, continuó a eficientemente metabolizar las moléculas de comida utilizando oxígeno y compartió su exceso de ATP (energía en forma de almacenamiento químico) con su anfitrión, un anaerobio grande. El arreglo hubiese sido similar al que vemos en nuestro propio sistema digestivo: millones de microbios viven felizmente en nuestros intestinos, ayudando a digerir y metabolizar lo que comemos. Como los microbios viviendo en nuestras agallas, la célula aeróbica vivía completamente dentro de su anfitrión.

La teoría endosimbiótica sigue a decir de que los cloroplastos se evolucionaron en una forma similar. Propone de que una cianobacteria pequeña (la bacteria fotosintética mencionada anteriormente como la primer fuente de gas de oxígeno) fue encapsulado por una célula aeróbica no-fotosintética mas grande y aeróbica. Esta célula, que es un descendiente de la simbiosis descrita anteriormente ya tenia mitocondria viviendo dentro de ella. Era un primer eucariota o un procariota avanzado que compartía algunas características eucariotas y tal como antes, cuando las células mas grandes se encapsularon a la célula mas pequeña, falló a digerirlo. La cianobacteria, como la célula aeróbica antes de esa vivía felizmente dentro de la célula mas grande. La célula grande ahora tenia tanto la célula aeróbica como la célula fotosintética viviendo dentro de ella!

El arreglo pudo haber sido bien similar a lo que vemos en organismos unicelulares modernos llamados Paramecium bursaria. P. bursaria comúnmente vivieron en estanques y comían grandes cantidades de algas sintéticas que no digieren. La alga continua a fotosintetizar dentro del anfitrión casi transparente, proveyendo que el paramecio con una fuente de alimento renovable. El anfitrión paramecio contribuye a la simbiosis transportanto las algas a zonas asoleadas en el estanco mientras lo protege de predadores mas peligrosos. También comparte alimentos que puede encontrar las algas durante tiempo que la luz del sol es escaso.

Tal como la simbiosis anterior, el arreglo cooperativo entre la célula fotosintética y la célula mas grande fue mutuamente benéfica. El fotosintetizador pequeño fue proveído con protección y con todos los nutrientes que se necesitaban, incluyendo bastante ATP debido a que la célula grande era aeróbica. La célula grande beneficiaba aun mas. Con la cianobacteria dentro de ella, la célula ya no tiene que buscar alimento a su alrededor – tiene una fuente interna de moléculas altas en energía que consisten en un nuevo ayudante fotosintético. A través de millones de años, la cooperación aumento y los descendientes de la cianobacteria ahora son un orgánulo completamente dependiente llamado cloroplast. La célula grande, que ahora es aeróbica y fotosintética dio paso a todas las plantas y algas que miramos hoy en día.

La teoría de endosimbiosis suena un poco difícil de creer y la comunidad científica no lo creía al principio. Pero Lynn Margulis fue persistente y trabajo bastante para recolectar evidencia fuerte para apoyar su teoría. Finalmente obtuvo las pruebas que ella necesitaba a finales de la década de 1970 cuando los científicos desarrollaron una nueva herramienta para identificar la línea ancestral de organismos.

Punto de Comprensión
Los cambios evolucionarios
Incorrect.
Correct!

Confirmando la teoría

Margulis originalmente concibió la idea de la endosimbiosis basada en lo que había observado en el laboratorio mientras estudiaba Eugenla, un organismo unicelular, fotosintético y eucariotico. Los cloroplastos adentro de la Euglena le recordaron a Margulis de bacteria que ella había estudiado anteriormente. Los cloroplastos tenían ADN que era circular como el ADN en bacteria (Figura 3).

Figura 3: El ADN en mitocondria y cloroplastos son circulares como la bacteria de ADN

El mitocondria en Euglena también tenían similitudes a la bacteria libre. Por ejemplo, se separan para poder reproducirse en un proceso que se parece bastante a fision binaria (Figura 4) (vea nuestro módulo de División Celular).

Figura 4: La bacteria y la mitocondria se separan para reproducir

Solo porque la mitocondria parecen bacteria no era suficiente para convencer a la mayoría de los científicos de que los orgánulos descendieron de ancestros bacteriales. Recolectar evidencia concluyente de que el mitocondria de hoy en día y los cloroplastos están relacionados distantemente a la bacteria era algo difícil en la década de 1960. Sin embargo, en la siguiente década, los científicos desarrollaron un método para leer la secuencia precisa de nucleótidos presentes en el ADN de un organismo. La nueva técnica le permite a científicos compara el genoma de una especie con el de otro y buscar similitudes que indican relación. Mas similitudes entre el genoma de dos especies sugiere de que son relacionados mas. Pocas similitudes sugieren de que dos organismos son menos relacionados.

Utilizando las nuevas técnicas para secuenciar ADN, Ford Doolittle y Michael Gray, científicos trabajando en la Universidad de Dalhousie en Halifax, Nova Scotia, encontró evidencia necesitada para convencer a la comunidad científica de que Margulis tenia razón. Compararon el ADN de cloroplastos al ADN del núcleo de la misma célula. Luego compararon los cloroplastos de ADN a la línea antigua de bacteria fotosintética libre.

Encontraron que el cloroplasto de ADN parecía estar mas relacionado a la bacteria que al ADN nuclear de plantas o algas. No mucho después de eso, ellos mostraron que el ADN mitocondrial o mtADN estaba mas relacionado con la línea antigua de bacterias libres aeróbicas que al ADN nuclear de euciariotas que eran anfitriones de mitocondria. La reacción en la comunidad científica fue rápida. La explicación de Margulis acerca del origen de la mitocondria y los cloroplatos en las células eucarioticas pronto se convirtió en el punto de vista dominante. Mas evidencia continuo a aparecer y al principio de la década de 1990 había un consenso científico solido de que la hipótesis del origen endosimbiótica de mitocondria y cloroplastos estaba correcta (ver la lista a continuación). Fue el primer ejemplo documentado de la cooperación y no la competencia en una innovación evolucionaria importante.

Evidencia importante de la teoría endosimbiótica

  1. La mitocondria y cloroplastos tienen un poco de su propio ADN y esta ubicado en una cromosoma circular (similar a la bacteria).
  2. La mitocondria y cloroplastos tienen su propia ribosoma y son similares a las ribosomas bacteriales, no las ribosomas eucarioticas encontradas en la citoplasma.
  3. Las proteínas que se hacen dentro de la mitocondria y los cloroplastos comienzan con N-formil-metionina, como las proteínas bacteriales, no como las proteínas eucarioticas, las cuales siempre comienzan con metionina regular.
  4. La Mitocondria y cloroplastos se dividen y se replican por si solos de manera bien similar a como se divide la bacteria llamada fisión binaria.
  5. Existen proteínas de transporte que se encuentran en las membranas de la mitocondria y el cloroplasto llamadas porinas que se encuentran en membranas de plasma bacteriales, pero no en ecuarioticas.
  6. Las secuencias de mitocondria de ADN son mas similares a los genes de bacteria que a cualquier tipo de genes eucarioticos.
  7. La bacteria moderna de hoy en día cuyo ADN es similar al ADN mitocondrial es el genus Rickettsia. Estas bacterias viven como parásitos dentro de células eucarioticas grandes..
  8. Las secuencias de cloroplastos de ADN son mas similares a genes de cianobacteria que a cualquier gen eucariotico. La cianobacteria es baceteria fotosintética moderna.

El adviento de ADN secuencias y la habilidad de comparar el ADN entre diferentes especies también ha aclarado la identidad de la célula grande que primero encapsulo a su ancestro de la mitocondria. Mientras que la mitocondria y los cloroplastos parecen haber descendido de bacteria, el ADN en el núcleo de células eucariotas es mas similar a arqueas que a bacteria. Tendemos a pensar que las arqueas son organismos arcanos relegados a la vida en ambientes extremos, con números mas bajos que los procariotas, la bacteria. Sin embargo, una vez fueron la forma de vida dominante en el planeta y científicos hoy en día los encuentran en lugares mas y mas sorprendentes. Debido a las similitudes entre nuestro ADN nuclear y el de ellos, es probable de que las células grandes que encapsulaban al ancestro de la mitocondria era una arquea, la cual significa que todos los eucariotas – incluyéndonos a nosotros – son descendientes de arqueos por medio de nuestro núcleo y de bacteria por medio de nuestra mitocondria. Es casi como que si dos dominios procariotas de vida, la bacteria o arquea, se unieron y dieron paso a la rama eucariota del árbol de la vida.

Punto de Comprensión
La evidencia mas convincente que los orgánulos como el mitocondria y los cloroplastos descienden de bacteria era
Correct!
Incorrect.

La evolución de otros orgánulos

¿Pero que hay del núcleo encontrado en células eucariotas? ¿Cómo evolucionó eso? El núcleo con membrana, quizás la característica mas definitiva de células eucariotas, no se asemeja en ninguna manera a cualquier bacteria o arqueo libre. El núcleo y otros orgánulos evolucionaron en una manera muy diferente que la mitocondria y cloroplastos (figura 5).

Figura 5: El núcleo que contiene ADN es claramente visible en esta célula eucariota.

image ©Image courtesy of Judith Beekman

Los biólogos no pueden decir por seguridad la orden exacta en el cual todos los orgánulos se evolucionaron. El record de fósiles es difícil de leer cuando se tratan de microorganismos pequeños llenos de fluido de hace miles de millones de años. Complicando mas el tema es el hecho de que algunos orgánulos parecieron haber evolucionado mas de una vez en diferentes linajes con el tiempo evolucionario. En resumen, existe aun algún debate acerca de los detalles de la cronología, pero científicos pueden inferir la secuencia básica de eventos basándose en lo que ya sabemos acerca de cómo funcionan los orgánulos hoy en día.

Las primeras células procariotas, las primeras formas de vida en la tierra, quizás tuvieron una pared celular rígida, como los procariotas de hoy en día. Dentro de la pared celular había una membrana de plasma, como todas las células tienen (Vea nuestro módulo de Membranas 1). De alguna manera, quizás como resultado de una mutación, la membrana de plasma comenzó a doblarse en si mismo, creando una pequeña cueva o invaginación dentro de la pared celular (Figura 6). A lo largo de miles y miles de generaciones, esta invaginación creció y eventualmente rodeaba el ADN de la célula, creando un sobre nuclear. Este realce arquitectónico dio a estas células una ventaja sobre otras células procariotas debido a que su ADN era ahora mejor protegido de moléculas dañinas encontradas en el citoplasma de una célula.

Figura 6: Las primeras células eucariotas quizás evolucionaron como resultado de invaginaciones o una doblez en la membrana exterior.

El núcleo ofreció otro beneficio importante. Dentro del ambiente protector creado por el núcleo, el ADN podía evolucionar en maneras que no podía anteriormente. Libre de la interferencia del citoplasma, reacciones químicas nuevas que dan poder a la combinación de genes, a la reparación de ADN y la expresión de genes eventualmente evolucionó y la estructura del ADN en si comenzó a cambiar. El ADN evoluciono de su forma antigua – la estructura de aro simple que se ve en bacterias – hasta los lazos largos complejos de nucleótidos que componen nuestro propio ADN. Con un solo cambio evolucionario – el desarrollo del núcleo – las células eucariotas fueron dejadas en curso a una diversidad y una especialización mas grande en comparación a las que pueden alcanzar las células procariotas.

Mas adelante en su evolución cuando las células eucariotas adquirieron mitocondria y cloroplastos, adquirieron otra ventaja. Células eucariotas pueden ahora demostrar y utilizar fuentes alimenticias mejor que sus primas procariotas. Células eucariotas comenzaron a crecer mas grandes aun. (La célula eucariota promedio hoy en día es 100 a 1,000 veces mas grande que una procariota.) Asi como las células aumentan en tamaño, su membrana exterior continuaba a doblarse en si de la misma manera que lo hacia cuando se formaba el núcleo. Mas dobleces crearon mas canales dentro de la célula y el mismo proceso de invaginación que formaba el núcleo comenzó usar los orgánulos con membrana.

Los compartimientos (o los orgánulos) crearon espacios en donde nuevos procesos podían haber evolucionado sin interferencia del resto de la célula. Orgánulos con membrana dieron a células eucariotas el mismo beneficio que un laboratorio le da a un químico - un ambiente en donde reacciones pueden ser controladas. Dentro de los nuevos orgánulos, procesos complejos como la síntesis de proteína pudieron evolucionar sin disrupciones químicas de otras funciones celulares como la respiración o fotosíntesis. Eventualmente, otras características se desarrollaron en células que les permitieron comunicarse con si mismo. Una vez que las células pudieron pasar señales y cooperar, comenzaron a desarrollar relaciones simbióticas mas grandes que al final dieron paso a los tejidos y órganos que forman nuestros cuerpos (Figura 7).

Figura 7: Un neurona tiene un núcleo y otros orgánulos comunes a todas las células eucariotas, pero también han evolucionado estructuras especializadas como axones y dendritas que se encuentran solamente en células nerviosas.

image ©Image copyright 2013 by David G. King, used with permission

Mientras que la explicación anterior es una conjetura, también se ve reforzada por evidencia de procariotas modernos que son la bacteria. Muchas bacterias tienen invaginaciones en sus membranas que utilizan para una variedad de propósitos. De hecho, la mayoría de la bacteria tienen unas dobleces extensivas en sus membranas de plasma que procesan moléculas de alimento la misma manera que la mitocondria metaboliza alimento en células eucariotas. Lo que esto muestra es que la evolución de membrana se dobla en compartimientos internos no es una posibilidad descabellada. De hecho aun sucede y pude proveer ventajas claras para las células.

Sin embargo las membranas que rodean los orgánulos de células eucariotas hacen mas que simplemente proveer una barrera entre orgánulos y citoplasmas. Funcionan como una red que provee un medio de comunicación y transporte a través de la célula. El sistema endomembranoso, también se pensaba que había evolucionado vía el proceso de la invaginación e ilustra este punto claramente.

Punto de Comprensión
Procesos complejos como impulsos nerviosos tienen mas posibilidades de ser encontrados en células _________________
Incorrect.
Correct!

El sistema endomembranoso

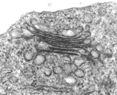
Camilo Golgi, un físico italiano trabajando a finales de la primera década del siglo XIX, se dice haber encontrado el aparato de Golgi cuando estaba buscando las células del sistema nervioso del cuerpo. El aparato interno reticular , como el lo llamaba, parecía ser una estructura individual cuando fue vista por su microscopio, el cual era lo ultimo en tecnología de ese día (Figura 8). Hoy en día, sabemos que el aparato Golgi se conecta a un sistema endomembranoso mas grande.

Figura 8: El aparato Golgi es parte de un sistema mas grande de orgánulos llamado el sistema endomembranoso.

image ©Julian Thorpe

El sistema endomembranoso divide el citoplasma de la célula en compartimientos separados u orgánulos, y cada uno lleva a cabo tareas especializadas dentro de la célula. Sin embargo, los compartimientos separados no son completamente separados. Algunos, de hecho, están conectados por medio de membranas compartidas, como es el caso del retículo endoplásmico y la membrana nuclear. Esta red particular forma un camino de moléculas largas y señales para pasar entre el núcleo y el ambiente afuera de la célula.

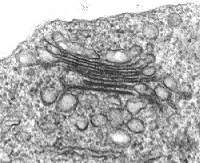
Compartimientos que no comparten una conexión directa física pasa señales, proteínas y desperdicio por medio de sacos de membrana pequeños llamados vesículas. Las Vesículas se forman de la misma membrana de plasma que rodean la célula y todos los orgánulos, fácilmente se unen con las membranas que rodean cada compartimiento. Las vesículas que contienen proteínas básicas sintetizadas en el retículo endoplásmico viajan al aparato Golgi para el proceso final por medio de las vesículas. Las vesículas que contienen la proteína terminada dejan el aparato y envían el producto final a otro orgánulo (Figura 9).

Figura 9: Imagen de vesículas conteniendo proteínas sintetizadas dejando el aparato Golgi.

image ©University of Dundee/Wellcome Images

Nuestro entendimiento actual de membranas rodeando orgánulos ha llegado de nuevas técnicas en la bioquímica que da a investigadores mejor acceso al funcionamiento interno de células en comparación al acceso que tenían los científicos en los tiempos de Margulis. Investigadores hoy en día pueden revisar muestras de células utilizando centrifugas y aislar orgánulos individuales para revisión mas cercana. También pueden revisar el movimiento de químicos específicos y proteínas por medio del sistema celular y ven el flujo de químicos y señales de un orgánulo a otro. El resultado ha sido un grande entendimiento del espíritu verdadero de la cooperación que fue la base de la evolución de la célula eucariota. Como Lynn Margulis y su hijo escribieron en uno de muchos libros, “La vida no tomó el mundo por el combate, sino por la creación de redes.”


Donna Hesterman, Nathan H Lents, Ph.D. “Orgánulos Celulares I” Visionlearning Vol. BIO (1), 2013.

Referencias

  • Gray, M. W. (1983). The bacterial ancestry of plastids and mitochondria. BioScience, 33, 693–699.

  • Margulis, L. (1970). Origin of Eukaryotic Cells. New Haven, CT: Yale University Press.
  • Mereschkowsky, K. (1910). Theorie der zwei Plasmaarten als Grundlage der Symbiogenesis, einer neuen Lehre von der Ent‐stehung der Organismen. (The nature and origins of chromatophores in the plant kingdom.) Biol Centralbl, 30, 353‐367.
  • Sagan, L. (1967). On the origin of mitosing cells. Journal of Theoretical Biology, 14, 225–274.